MRT Kiefergelenk

Gelenkblockaden und mehr identifizieren

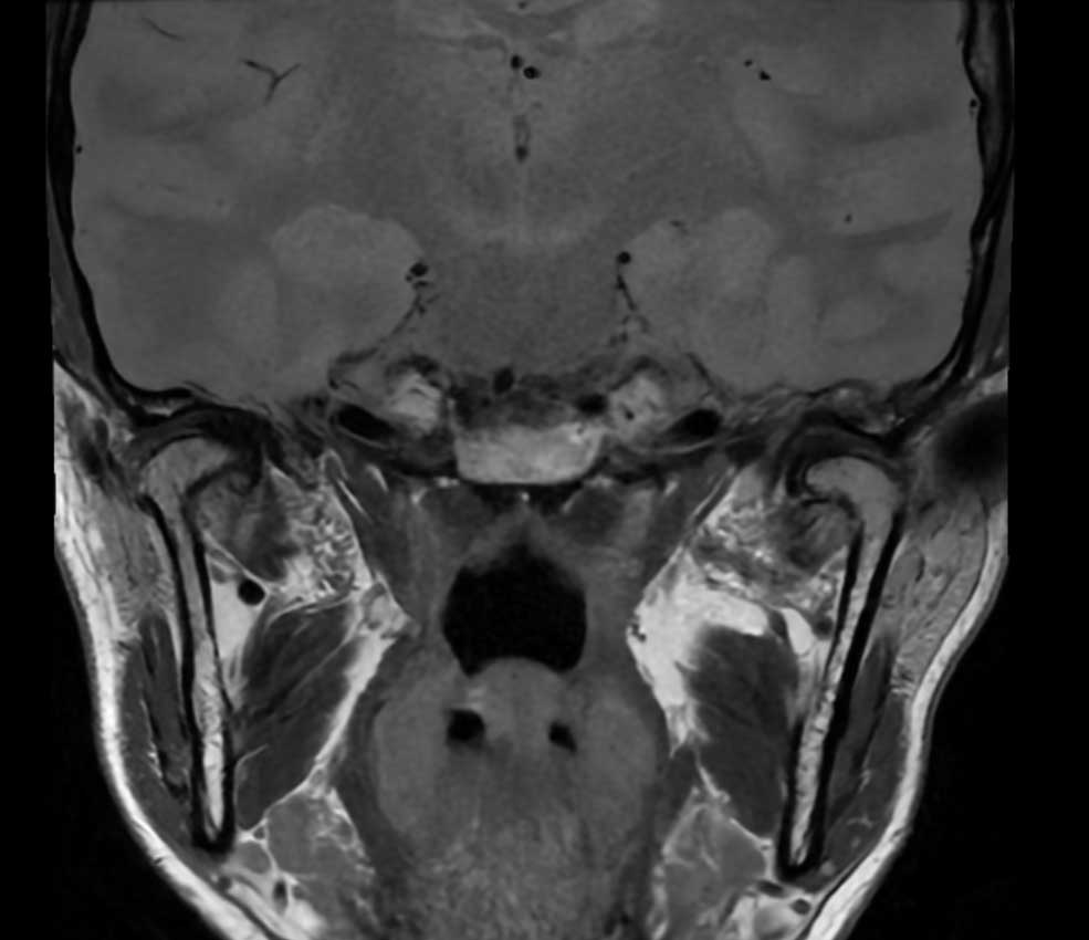
Die Magnetresonanztomographie (MRT) des Kiefergelenks ist ein fortschrittliches diagnostisches Verfahren, das Strukturen im Kiefergelenksbereich detailliert darstellt. Dieses Verfahren hat sich als äußerst wertvoll für die Beurteilung von Kiefergelenkserkrankungen, – verletzungen und Funktionsstörungen erwiesen.

Die MRT des Kiefergelenks ermöglicht es Ärzt:innen, eine genaue Beurteilung dieser Strukturen vorzunehmen, um Erkrankungen wie Kiefergelenksentzündungen (Arthritis), Diskusverlagerungen, Degeneration von Knorpel und Knochen, Kiefergelenkblockaden und andere Störungen zu identifizieren.

Warum ist das so wichtig? Kiefergelenkprobleme können sehr schmerzhaft sein. Erst die hochpräzise Diagnose ebnet den Weg für geeignete Behandlungsansätze.

FAQ

Oft gefragt

Eine MRT des Kiefergelenks kann zur Diagnose verschiedener Zustände wie Kiefergelenksarthrose, Diskusverlagerungen, Entzündungen, Verletzungen und Tumoren eingesetzt werden. Es bietet detaillierte Einblicke in die Strukturen und ermöglicht eine genauere Beurteilung im Vergleich zu anderen Bildgebungsmethoden.

In den meisten Fällen ist keine spezielle Vorbereitung erforderlich. Es ist jedoch ratsam, Schmuck und Metallgegenstände zu entfernen, da diese das MRT beeinflussen könnten. Informieren Sie den Radiologen über Implantate oder Metall im Körper, da diese die Untersuchung beeinträchtigen könnten.

Die Dauer der Untersuchung variiert, liegt aber oft zwischen 20 und 45 Minuten. Sie hängt von der Art der Bilder, die benötigt werden und der individuellen Anatomie ab.