Die Magnetresonanztomographie (MRT) der Gefäße, auch als MR-Angiographie (MRA) bezeichnet, ist eine fortschrittliche bildgebende Technik, die dazu dient, die Blutgefäße im Körper detailliert darzustellen. Diese nicht-invasive Methode ermöglicht es uns, die Struktur, den Verlauf und den Zustand der Gefäße zu visualisieren, um verschiedene vaskuläre Erkrankungen zu erkennen und zu bewerten. Im Gegensatz zur konventionellen Angiographie bleibt Patient*Innen bei der MRT eine Strahlenbelastung erspart. Sie kann außerdem auch bei Nierenproblemen oder Kontrastmittelallergien sicher eingesetzt werden.
Die MRT-Gefäßbildgebung ist von entscheidender Bedeutung für die Diagnose und Überwachung von Gefäßerkrankungen.
Sie hilft dabei, frühzeitig vaskuläre Probleme zu erkennen, die Durchblutung zu beurteilen und geeignete Behandlungspläne zu entwickeln.
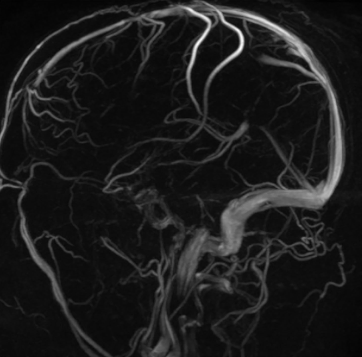
Die MRA der Gehirnarterien bietet wertvolle Informationen über die Blutzirkulation im Gehirn. Sie kann verwendet werden, um die intrakraniellen (innerhalb des Schädels liegenden) Arterien und Venen zu visualisieren, darunter die großen Hirnarterien wie die Halsschlagadern (Carotisarterien) und die Wirbelarterien (Vertebralarterien). Diese Methode ist besonders nützlich bei der Identifizierung von Durchblutungsstörungen, Gefäßverengungen (Stenosen), Aneurysmen, arteriovenösen Malformationen (AVM) und anderen vaskulären Anomalien im Gehirn.
Die MRA der Halsarterien ist besonders wertvoll, um die Blutversorgung in den großen Gefäßen des Halses zu visualisieren. Dies umfasst die Halsschlagadern (Carotisarterien) und die Wirbelarterien, die wichtige Blutzufuhr zum Gehirn liefern.
Die Methode kann verwendet werden, um Durchblutungsstörungen, Gefäßverengungen (Stenosen), Aneurysmen und andere vaskuläre Anomalien im Halsbereich zu erkennen.
Die Aorta ist die Hauptschlagader, die sauerstoffreiches Blut vom Herzen in den gesamten Körper transportiert. Die MRA der Aorta ermöglicht die genaue Beurteilung des Verlaufs, der Durchblutung und möglicher Abnormalitäten in dieser wichtigen Arterie. Sie kann verwendet werden, um Aortenaneurysmen, Aortendissektionen, Verengungen (Stenosen) und andere vaskuläre Anomalien zu erkennen.
Die MRA des Becken-Bein-Bereichs bietet wertvolle Einblicke in die Blutzirkulation, die Versorgung der Becken- und Beinstrukturen sowie eventuelle vaskuläre Anomalien. Sie kann verwendet werden, um Verengungen (Stenosen), Aneurysmen, Gefäßentzündungen und andere vaskuläre Probleme zu erkennen, die den Becken- und Beinbereich betreffen.
Die MRT-Gefäßuntersuchung (auch MR-Angiographie genannt) ist eine nicht-invasive Bildgebungstechnik, die verwendet wird, um die Blutgefäße im Körper darzustellen. Sie ermöglicht detaillierte Bilder von Arterien und Venen ohne Einsatz von Röntgenstrahlen.
Die MRT-Gefäßuntersuchung wird zur Beurteilung von Durchblutungsstörungen, Aneurysmen, Engstellen, Gefäßmalformationen und anderen Gefäßerkrankungen verwendet. Sie kann in verschiedenen Bereichen des Körpers durchgeführt werden, z.B. im Gehirn, Hals, Bauch oder Beinen.
Die Dauer kann variieren, beträgt jedoch normalerweise zwischen 20 und 30 Minuten, von der zu untersuchenden Region und dem gewünschten Detailgrad.